Células escamosas superficiales e intermedias con normal morfología, descamadas de un epitelio escamoso no queratinizante.
Células superficiales escamosas de una muestra cervical con abundante citoplasma y núcleo picnótico.
Muestra con efecto estrogénico células superficiales aisladas con citoplasma eosinófilo en un fondo limpio.
Muestra cervical con células intermedias.
Células parabasales. Células redondas u ovales con núcleo relativamente agrandado y citoplasma denso, escaso y cianófilo.
Placa de células parabasales en una muestra atrófica. El citoplasma de algunas células ha degenerado presentando algunos nucleos libres en el extendido.
Placa de células parabasales en una muestra atrófica. El citoplasma de algunas células ha degenerado presentando algunos nucleos libres en el extendido.
Extendido atrófico compuesto enteramente por células parabasales con cambios degenerativos. Hay numerosos leucocitos y tractos de moco.
Placa de células columnares citoplasmas bien definidos con imagen en panal.
Células endocervicaales con morfología caliciforme por la distensión con mucina.
Núcleos desnudos en proximidad de grupos endocervicales.
Células columnares endocervicales con barra terminal y cilios.
Células endocervicales ciliadas.
Citolisis bacteriana. Núcleos desnudos debido a la lisis de los citoplasmas. Los bacilos de Döderlein son evidentes.
Muestra con citolosis bacteriana con células intermedias y núcleos desnudos.
Fondo mucoso teñido de rosa o verde es generalmente indicado de muestra de cérvix.
Tapón de moco contaminando células inflamatorias.
Escamas anucleadas descamadas de las capas superficiales de epitelio escamoso queratinizado.
Muestra satisfactoria con celularidad correspondiente a epitelio escamoso y endocervical
Células escamosas y células columnares con núcleo excéntrico y abundante citoplasma.
Muestra convencional insatisfactoria debido a un exceso de polinucleares.
Muestra convencional insatisfactoria debido a un exceso de sangre.
Metaplasia inmadura presentando proyecciones citoplasmáticas.
Grupo de células metaplásicas con citoplasmas densos amplos e poligonais e núcleos semellando os das células endocervicais.
Células de metaplasia escamosa inmadura aisladas y en placas bidimensionales con núcleo relativamente grande y citoplasma homogéneo o finamente vacuolado.
Células de morfología escamosa inmadura con alta relación núcleo citoplasma. Núcleo grande y cromatina granular fina.
Céluals de metaplasia escamosa madura con discreta atipia con núcleo irregular algo agrandado.
Células aisladas y en láminas de metaplasia escamosa.
Muestra de cervicitis no específica con abundantes polimorfonucleares.
Acúmulo de células endometriales.
Células endometriales densamente teñidas sin mostrar detalles precisos.
Los macrófagos multinucleados o las células gigantes no son un hallazgo específico especialmente en mujeres postmenopáusicas.
Colonias de actinomyces. Estructuras filamentosas con disposición radial desde el centro.
Colonias de actinomyces son organismos filamentosos sin inflamación significativa.
Muestra cervical con esporas y pseudohifas con ligera inflamación en infección por Cándida Albicans.
Candida Albicans. Filamantos alargados septados eosinófilos y esporas.
Hifas de Cándida formando un enredado sobre una placa de células escamosas. Se aprecian algunas esporas entre las hifas.
Célualas superficiales recubiertas de gérmenes cocoides.
Células escamosas recubiertas por Gardnerellas vaginalis.
Las tricomonas son organismos redondeados u ovales de tonalidad cianófila.
Tricomonas adheridas a la superficie de células escamosas.
Halo perinuclear formando una estrecha zona. Es una respuesta inflamatoria no específica frecuentemente en la infección por Tricomonas.
Muestra con una infección por Herpes genital con células bizarras.
Células de epitelio cervical con cambios por herpes virus.
Muestra con una infección por Herpes genital con células bizarras.
Inicialmente hay multinucleacion del núcleo seguido por degeneración de la cromatina dando lugar a un patrón en cristal esmerilado.
Infección por Herpes Genital. La multinucleación es un rasgo frecuente
Coilocitos con amplio halo perinuclear y núcleo con agrandamiento variable Koilocytes with well-defined clearing of cytoplasm around the nuclei and variable nuclear enlargement. Coilocitos con amplo halo perinuclear e núcleo con agrandamento variabel.
Cambios condilomatosos en epitelio escamoso maduro. Irregularidades en tamaño y forma del núcleo con halos perinucleares conspicuos.
Coilocitos con discretos cambios nucleares mínimos con agrandamiento y normal cromatina.
Coilocitos amplios halos perinucleares citoplasma denso en el contorno y núcleos agrandados con cromatina densa hipercromatica.
Infección por HPV acúmulo celular frecuentemente se observan en esta infección.
Atipia coilocítica. Muestra cervical con LSIL presentando células con vacuolización del citoplasma y ligera atipia nuclear.
Infección por HPV cambios correspondientes a lesión intraepitelial escamosa de bajo grado (LSIL).
L-SIL Células escamosas con núcleos discretamente agrupados, discretamente hipercromáticos.
L-SIL Células escamosas con núcleos discretamente agrupados, discretamente hipercromáticos.
L-SIL. Patrón cromatínico anormal con irregularidades en los contornos nucleares agrandamiento nuclear e hipercromasia. Las células tienen abundante citoplasma.
L-SIL. Las células muestran variable agrandamiento nuclear patrón cromatínico anormal discretas irregularidades en el contorno nuclear.
L-SIL. Agrandamiento nuclear y patrón cromatínico anormal. El aclaramiento citoplasmático probablemente indican infección por HPV.
Infección por HPV cambios correspondientes a lesión intraepitelial escamosa de bajo grado (LSIL).
H-SIL. Células con variable tamaño y forma. Núcleos redondos u ovales de forma irregular. La cromatina, a veces fina, otra grumosa con núcleos normalmente hipercromáticos. Aumento de la relación núcleo-citoplasma.
H-SIL. Los núcleos muestran variable hipercromasia patrón cromatínico anormal e irregularidades en el contorno nuclear.
H-SIL. Los núcleos de las células son hipercromáticos con contornos irregulares y plegamientos.
H-SIL:. Células y núcleos con formas irregulares, cromatina granular, y núcleos hipercromáticos.
Células con variable tamaño y forma. Núcleos redondos u ovales de forma irregular. La cromatina, grumosa con núcleos anormalmente hipercromáticos. Aumento de la relación núcleo-citoplasma.
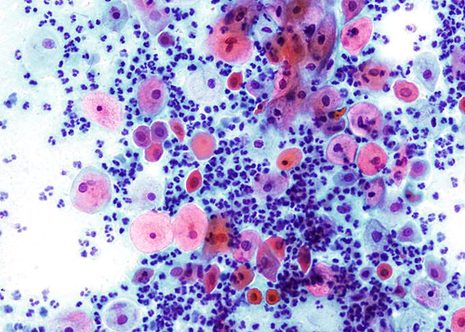
Carcinoma Escamoso. Acúmulos de celulas malignas sangre y restos necróticos
Carcinoma Escamoso. Acúmulos de celulas malignas sangre y restos necróticos
Carcinoma Escamoso. Celulas anormales junto con celularidad inflamatoria.
Carcinoma Escamoso. Nucleos agrandados aumento de la cromatina e hipercromasia.
Carcinoma Escamoso. Nucleos con variable forma y tamaño con patron cromatinico anormal.
Carcinoma Escamoso. Nucleos agrandados aumento de la cromatina e hipercromasia.
Carcinoma Escamoso.Hipercromasia y pleomorfismo. Cromatina grumosa distribuida irregularmente
Carcinoma Escamoso.Hipercromasia y pleomorfismo. Cromatina grumosa distribuida irregularmente
Adenocarcinoma Endocervical. Acumulos redondeados de células de bordes suaves con vacuolización.
Adenocarcinoma Endocervical. Acumulo celular con degeneración nuclear.
Adenocarcinoma Endocervical. Acúmulos papilar de celulas agrandadas con nucleo aumentado de tamaño.
Adenocarcinoma Endocervical. Celulas endocervicales atípicas, con marcada variación en el tamaño celular
Adenocarcinoma Endocervical. Acumulo de células endocervicales con marcada atipia
Adenocarcinoma Endocervical. Celulas indiferenciadas sin evidencia de caracteres citoplasmáticos y nucleos hipercromaticos marcadamente anormales.
Adenocarcinoma Endocervical. Celulas indiferenciadas sin evidencia de caracteres citoplasmáticos y nucleos hipercromaticos marcadamente anormales.
El carcinoma escamoso invasor de cérvix está precedido por cambios precancerosos del epitelio, los que se pueden identificar citológicamente. Las células anormales exfoliadas del cérvix se usan para la detección de cambios preneoplásicos intraepiteliales. El éxito en el tratamiento de estas lesiones hacen que sea ideal para el despistaje de la población.